CONTINUING DENTAL
EDUCATION 2026
Excellent Clinician
デモンストレーションコース
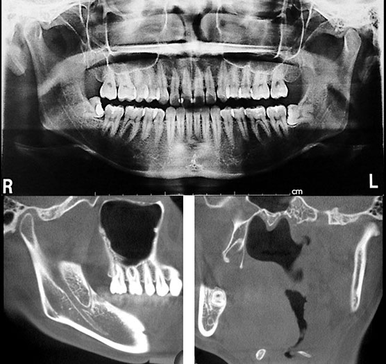
10.小外科手術(埋伏抜歯)
埋伏歯の適切な抜歯方法
龍田 恒康
Tsuneyasu Tatsuta
明海大学歯学部 病態診断治療学講座口腔顎顔面外科学分野教授
日常の歯科臨床において、口腔領域の観血的処置の代表的な手技は、抜歯処置です。つまり安全に執り行うためには、小外科処置の基本的な知識と一連の手技が必要とされます。
また、患者様の全身的リスクや局所的リスク(臨床的・解剖学的リスクも含む)などを的確に診査診断を行い、当施設での処置の可否も含めた治療計画の判断を必要とすることもあります。
今回は、抜歯処置や小外科処置における、個々の症例の全身的リスク、局所的リスクを配慮した周術期管理をマスターしていただきます。
Point
- ■埋伏智歯抜去処置における局所麻酔、切開、剝離、骨の切削、歯の分割、歯根の脱臼、掻爬、縫合の基本手技の確認。
- ■小外科処置における合併症への対応。
- ■周術期管理としての全身的リスクと局所的リスクのマネジメント。




プログラム一覧
Excellent Clinician デモンストレーションコース
| 日時 | コース名 | 区分 | 講師 | 会場 | 定員 | 受講料 | 申込 |
|---|---|---|---|---|---|---|---|
| 2026年4月26日(日)~2027年3月7日(日) | 【コース番号 17260200】 デモンストレーションコース(パッケージコース) |
歯科医師 | 講師詳細 | 東京・新宿区 | 15 | 220,000 円 | 詳細 申込 |
| 2026年4月26日(日) | 【コース番号 17260201】 デモンストレーションコース-1-診断と治療計画 |
歯科医師 |
渡辺 隆史 |
東京・新宿区 | 15 | 25,000 円 | 詳細 申込 |
| 2026年5月31日(日) | 【コース番号 17260202】 デモンストレーションコース-2-歯周病の検査と診断 |
歯科医師・歯科衛生士 |
辰巳 順一 |
東京・新宿区 | 15 | 25,000 円 | 詳細 申込 |
| 2026年7月12日(日) | 【コース番号 17260203】 デモンストレーションコース-3-歯周基本治療 |
歯科医師・歯科衛生士 |
林 丈一朗 竹谷 佳将 |
東京・新宿区 | 15 | 25,000 円 | 詳細 申込 |
| 2026年7月26日(日) | 【コース番号 17260204】 デモンストレーションコース-4-保存修復 |
歯科医師 |
宮崎 真至 |
東京・新宿区 | 15 | 25,000 円 | 詳細 申込 |
| 2026年8月2日(日) | 【コース番号 17260205】 デモンストレーションコース-5-歯内療法(歯髄保護とエンド) |
歯科医師 |
平井 順 |
東京・新宿区 | 15 | 25,000 円 | 詳細 申込 |
| 2026年9月6日(日) | 【コース番号 17260206】 デモンストレーションコース-6-半調節性咬合器 |
歯科医師 |
渡辺 隆史 |
東京・新宿区 | 15 | 25,000 円 | 詳細 申込 |
| 2026年10月4日(日) | 【コース番号 17260207】 デモンストレーションコース-7-総義歯 |
歯科医師 |
上濱 正 |
東京・新宿区 | 15 | 25,000 円 | 詳細 申込 |
| 2026年11月1日(日) | 【コース番号 17260208】 デモンストレーションコース-8-審美修復の理論と実際 |
歯科医師 |
貞光 謙一郎 |
東京・新宿区 | 15 | 25,000 円 | 詳細 申込 |
| 2026年12月13日(日) | 【コース番号 17260209】 デモンストレーションコース-9-インプラント |
歯科医師 |
嶋田 淳 |
東京・新宿区 | 15 | 25,000 円 | 詳細 申込 |
| 2027年2月28日(日) | 【コース番号 17260210】 デモンストレーションコース-10-小外科手術(埋伏抜歯) |
歯科医師 |
龍田 恒康 |
東京・新宿区 | 15 | 25,000 円 | 申込 |
| 2027年3月7日(日) | 【コース番号 17260211】 デモンストレーションコース-11-矯正治療 |
歯科医師 |
渡辺 隆史 |
東京・新宿区 | 15 | 25,000 円 | 詳細 申込 |
■ご協力とお願い
- 1. 服装について
- 我が国の誇る著名な臨床歯科医師の先生方を招聘して、開催しております。服装は必ずしもフォーマルである必要はありませんが、襟なしシャツや短パンなど、周囲の雰囲気を損なわない服装やエチケットにご協力をお願い申し上げます。
- 2. 写真撮影・ビデオ撮影等について
- 研修会開催中の写真撮影、ビデオ撮影については、患者様の個人情報に関する保護法の問題、ご講演いただいております講師の著作権法などに関わる問題などが発生しますので、ご遠慮願いますようお願い申し上げます。
- 3. 個人情報保護法について
- 2005年4月1日より個人情報保護法が施行となりました。生涯研修会にご参加希望の先生が受講申込書等にご記入いただく「医院名、所在地、氏名、電話、FAX等」は個人情報に該当します。ご提供いただきました個人情報に関する取扱には、細心の注意を払います。
-
(1) 受講申込書にご記入いただいた情報は、ご参加研修会の受講案内の送付、修了証書の交付、研修会に関する資料および当生涯研修会が発信する情報の送付先として利用されます。
- (2) 受講申込書にご記入いただいた情報は、本研修会の協賛社にも提供され、製品情報等の送付先として利用されます。
申込手続き
0